
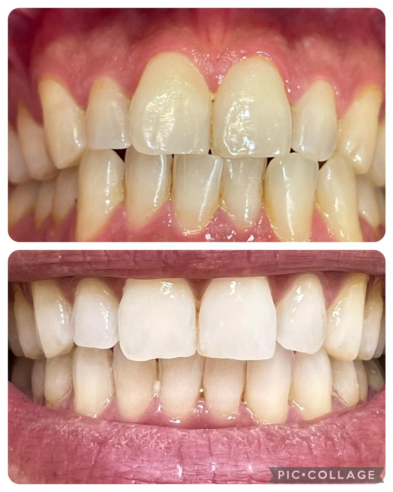
Blanchiment dentaire
Ce traitement que l’on appelle “l’éclaircissement dentaire” est également connu comme le blanchiment dentaire. C’est une technique qui permet d’éclaircir la couleur interne des dents afin de leur redonner un éclat et une brillance plus attractives.
Il faut savoir qu’il s’agit davantage d’un éclaircissement de la teinte naturelle de la dent. Nous traitons les cas sévères de dyschromie (atteinte profonde de la teinte de l’émail liée souvent à la prise de médicaments lors de la formation de la dent) par la technique des facettes dentaires.
Les causes du jaunissement des dents
Les dents peuvent jaunir pour plusieurs raisons :
– les aliments (les fruits rouges, le curry, le safran…),
– les boissons (le thé, le café, les sodas…),
– les produits chimiques (comme le tabac),
– les médicaments,
– le manque d’hygiène dentaire,
– la coloration naturelle des dents.














